Per un sorriso perfetto senza rinunciare all'estetica, affidatevi all'ortodonzia invisibile!
Affidati alla Dr. Giorgia Buffa a Palermo per trattamenti personalizzati che utilizzano tecnologie avanzate per garantire risultati efficaci.
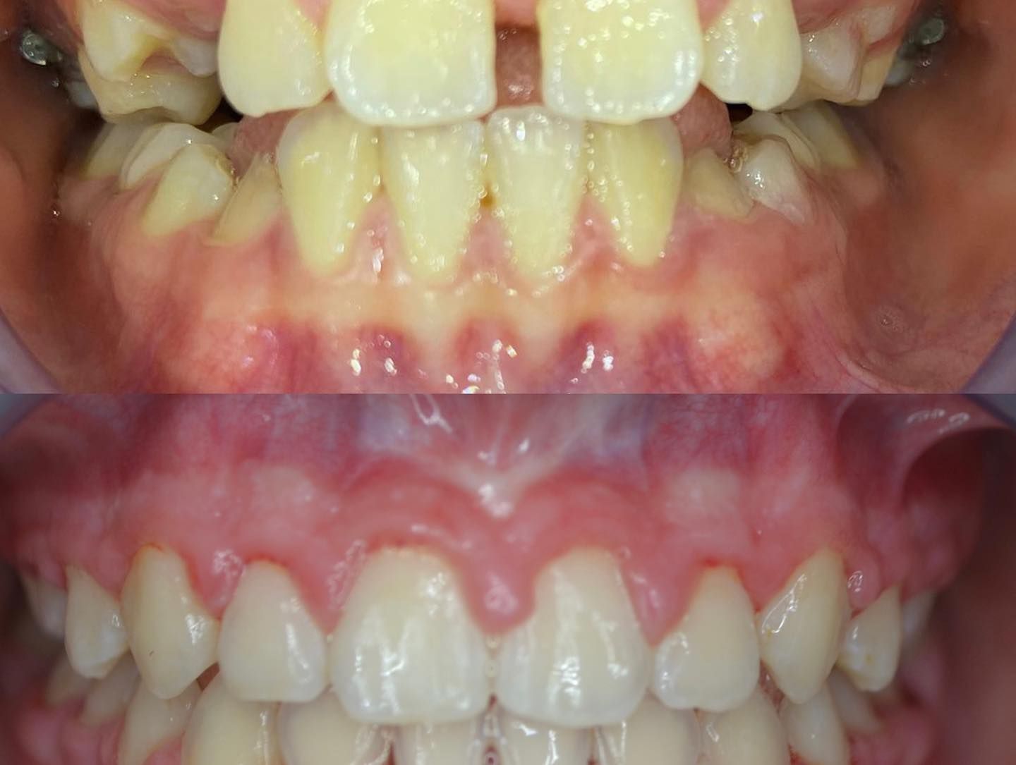
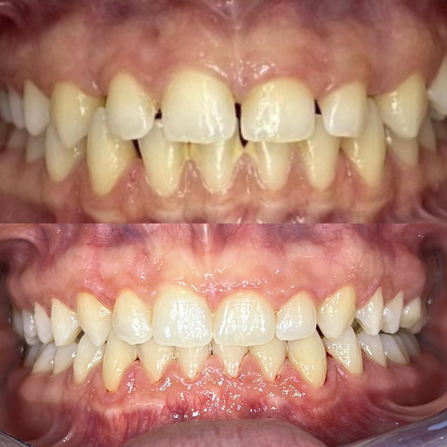
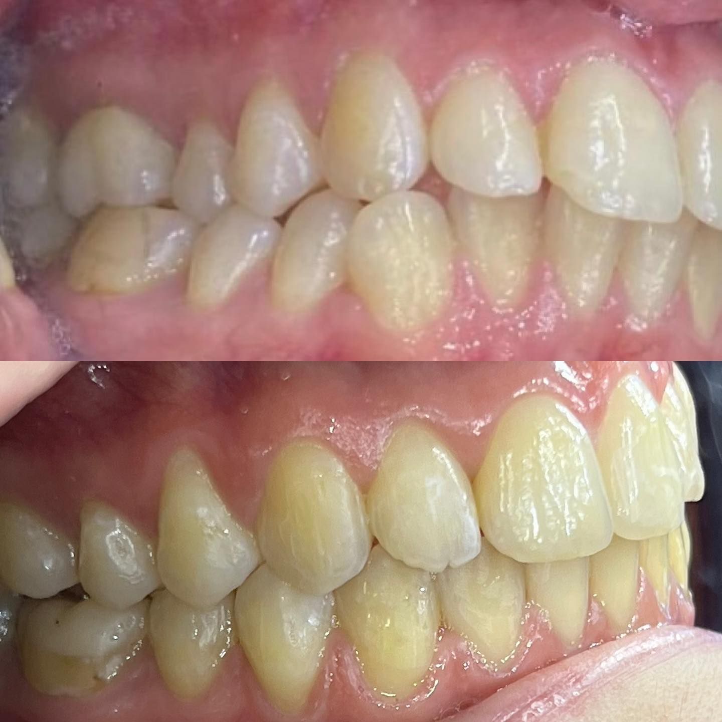
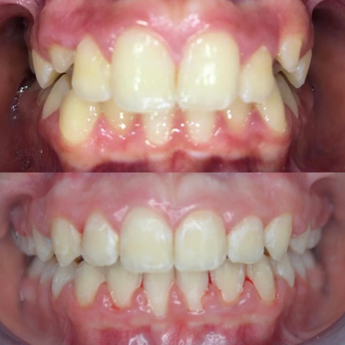
Oggi è possibile correggere i denti a qualsiasi età, senza dover temere il dolore, in metà del tempo rispetto al passato e senza modificare le proprie abitudini. Questo diventa possibile grazie ad un apparecchio trasparente quasi invisibile, che è ulteriormente accelerato da un innovativo biostimolatore facile da usare e che non richiede più le vecchie e fastidiose impronte della bocca.
Tutto ciò grazie ai rivoluzionari allineatori trasparenti, alla fotobiomodulazione, allo scanner digitale 3D e, soprattutto, all'esperienza della dottoressa Giorgia Buffa a Palermo. Con l'aiuto della dottoressa Buffa è possibile beneficiare di una soluzione altamente professionale e senza dolore per avere un sorriso perfetto e sano, con un trattamento personalizzato che tiene in considerazione le tue esigenze e preferenze.
Non importa l'età, i denti possono essere corretti in modo veloce, semplice ed efficace.
Ortodonzia Intercettiva
L'Ortodonzia Intercettiva è una pratica fondamentale per la prevenzione e la cura delle malocclusioni dento-scheletriche nei bambini. Essa costituisce il primo passo per i piccoli pazienti, nell'affrontare il complesso mondo dell'Ortodonzia. Il principale obiettivo della terapia intercettiva è quello di eliminare o ridurre gli eventuali fattori che potrebbero causare lo sviluppo di una malocclusione.
Questa tipologia di trattamento si concentra principalmente sull'attuazione di un controllo precoce e sistematico dei disturbi scheletrici e dei difetti delle arcate dentali.
Tra le principali tecniche utilizzate nell'ortodonzia intercettiva, troviamo l'uso di apparecchiature ortodontiche mobili che permettono di agire con un'azione delicata e graduale sui disturbi scheletrici e dentali. Questi dispositivi sono progettati specificatamente per adattarsi alle esigenze dei pazienti in fase di crescita e sono in grado di garantire un notevole miglioramento nell'aspetto estetico e funzionale della bocca.
invisalign first e teen
I medici del nostro centro ortodontico utilizzano un dispositivo ortodontico all'avanguardia chiamato Invisalign First e Teen. Si tratta di una tecnica innovativa composta da mascherine trasparenti stampate in 3D, che vengono modulate in base alle arcate dentarie dei pazienti più piccoli. Queste mascherine, chiamate "aligner", sono semplici da utilizzare in quanto rimovibili, garantendo così una corretta igiene orale durante il trattamento.
Grazie alla loro trasparenza, gli aligner sono praticamente invisibili, offrendo una soluzione estetica al problema di malocclusioni dentali nei pazienti più giovani. Inoltre, poiché ogni aligner è progettato per consentire un determinato movimento dei denti, sono sequenziali e vengono cambiati ogni cinque giorni durante il trattamento.
invisalign first e teen: i vantaggi
La fascia di età target per la terapia Invisalign First è compresa tra i 6 e i 10 anni. Questo intervallo di età è stato scelto in quanto i bambini sono ancora in fase di crescita e, quindi, la correzione avviene in modo migliore rispetto alle persone adulte. Inoltre, l'utilizzo di queste ortesi dentali riduce significativamente il rischio di recidive, ovvero la possibilità che i denti ritornino alla posizione originale.
Nessuna impronta
Il processo non richiede alcuna impronta tradizionale con materiali sgradevoli come la pasta al silicone, ma si basa sulla scansione 3D della bocca del bambino. Ciò significa che non c'è alcun fastidio o disagio legato alla presa delle impronte.
No acciaio o altri materiali
Le mascherine prodotte sulla base della scansione 3D della bocca del bambino sono fatte solo di un materiale plastico trasparente. Ciò vuol dire che non ci sono vene, fili metallici o altri componenti in bocca che rendono scomodo parlare o masticare.
Invisibile
Le mascherine trasparenti prodotte dalla scansione 3D della bocca del bambino sono invisibili, il che le rende una soluzione estetica per i pazienti che non vogliono avere le maschere tradizionali in metallo o altro nella loro bocca.
Igiene
Come si possono facilmente rimuovere le mascherine di plastica, questo aiuta i bambini a mantenere una corretta igiene orale, senza fili metallici o componenti che impediscono di raggiungere bene alcune zone della bocca. In questo modo i bambini possono pulire delicatamente la bocca in modo adeguato senza avere alcun impedimento.
PER INFORMAZIONI
Prenota subito una consultazione per scoprire come possiamo aiutarti a mantenere un sorriso sano e luminoso a qualunque età.
Contattaci
Fissa un appuntamento per una visita specialistica
Ritrova il tuo sorriso smagliante con Invisalign!



















